Odkryto istotne biologiczne różnice w mózgach psychopatów – nowe ustalenia naukowców

„`html

Nowe odkrycia na temat biologicznych podstaw psychopatii

Badacze z uniwersytetów w Singapurze, USA i Kalifornii przeprowadzili badania, które ujawniły, że zwiększone prążkowie w mózgu może być związane z cechami psychopatycznymi. Wyniki tych badań zostały potwierdzone zarówno u mężczyzn, jak i kobiet, co stanowi istotny krok naprzód w rozumieniu biologicznych podstaw psychopatii.

Charakterystyka i cechy psychopatii

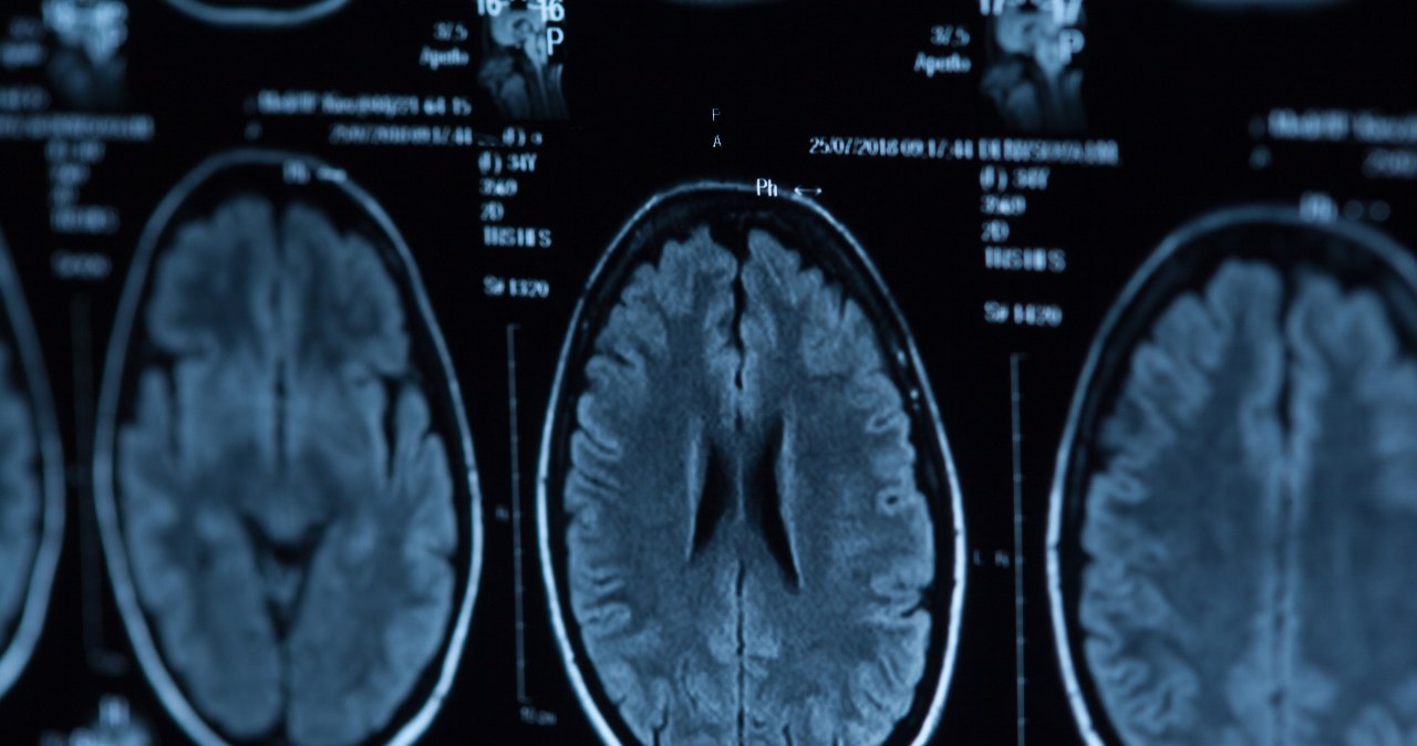
Psychopatia charakteryzuje się połączeniem egocentryzmu, chłodu emocjonalnego oraz braku empatii i skruchy. W niektórych przypadkach mogą się pojawiać również zachowania antyspołeczne lub przestępcze oraz agresywność i impulsywność. Nowe badania wykazały, że osoby z cechami psychopatycznymi mają prążkowie w mózgu większe o 10% w porównaniu do przeciętnych osób. Różnice w budowie mózgu stanowią biologiczne podstawy niektórych zachowań psychopatycznych.

Rola prążkowia

Prążkowie, obszar w przedmózgowiu, odpowiada za motywację, podejmowanie decyzji i przetwarzanie nagród. Pomaga także koordynować działania motoryczne i odgrywa rolę w planowaniu oraz reagowaniu na bodźce. Mimo wcześniejszych sugestii dotyczących jego związku z psychopatią, dopiero teraz potwierdzono jego znaczenie na podstawie dowodów.

Metodologia badań

Zespół badawczy wykorzystał skany rezonansu magnetycznego 120 dorosłych osób w Stanach Zjednoczonych. Uczestnicy zostali również poddani ocenie za pomocą narzędzia Psychopathy Checklist-Revised, służącego do identyfikacji cech psychopatycznych. W próbie znaleziono 12 kobiet potwierdzając, że powiększone prążkowie występuje u obu płci.

Znaczenie odkrycia i dalsze badania

Prof. Robert Schug zauważa, że wykorzystanie narzędzia oceny Psychopathy Checklist-Revised wśród społeczności jest nowatorskim podejściem, pomagającym zrozumieć cechy psychopatyczne u osób, które na co dzień funkcjonują w społeczeństwie. Zespół badawczy zamierza kontynuować badania nad przyczynami powiększenia prążkowia i jego wpływu na rozwój cech psychopatycznych.

Olivia Choy, współautorka badania, podkreśla, że wyniki pomagają w poszerzeniu wiedzy na temat przyczyn zachowań antyspołecznych, jak psychopatia, uwzględniając nie tylko społeczne wpływy środowiskowe, ale także różnice biologiczne dotyczące struktury mózgu.

„`

Nie przegap